印旛郡栄町、成田市、稲敷市、本埜、木下の歯科・歯医者ならあじき台歯科へ。
あじき台歯科では、安心してインプラント手術を受けていただけるよう、CTを完備しております。CTで撮影した画像は、お持ち帰りいただけるようデータDVD、または、プリント紙をお渡しし、ご自宅でもご覧いただけるよう治療に関する豊富な情報を無料でご提供いたします。

手鏡ではなくiPadで撮影した画面を一緒に見ながら、様々な歯肉状態に合わせたブラッシングのご指導をいたします。歯周病予防には適切なセルフケアが重要です。

その義歯リフォームできるかもしれません!
また新しい入れ歯を作る前に、あじき台歯科にご相談ください。
悪いところは全部抜いてすっきり?!そこまで踏ん切りがつかない方も多いと思います。
あじき台歯科なら、応急処置もしっかり治療も可能です。まずはご来院の上、ご相談ください。
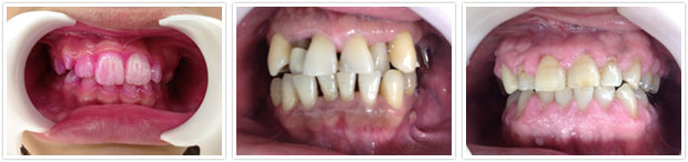
虫歯はないけどなんか不揃い…。元々だからしょうがない?!
いいえ、歯の長さや傾きは微調整が可能です。一度あじき台歯科にご相談ください。




前歯の気になる形態不良も、しみない範囲内の調整でかなり整えられます。
まずはご相談ください。保険の範囲内での対応も可能です。
こどもの歯に白い斑点が!でも黒くないから虫歯じゃないヨネ?痛がってないし……。
そんな時は削らないで高濃度フッ素を塗る治療が有効かも。まずはご来院の上、ご相談ください。
あじき台歯科は、前歯から小臼歯まで保険診療で白い歯が入れられ、CTを完備し、患者様に対して治療に必要な豊富な情報提供が可能である上、ガイドサージェリーで安全なインプラント手術ができる病院です。









